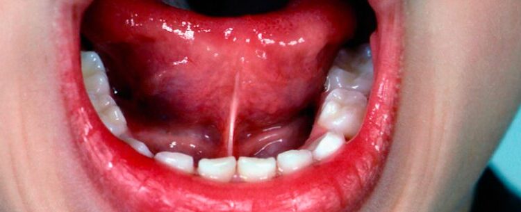
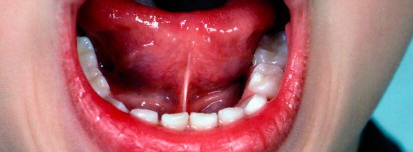
A partir do dia 19 de setembro, a Unidade Básica de Saúde (UBS) Tinga em Caraguatatuba começa a realizar cirurgias de frenectomia, um procedimento cirúrgico indicado para casos de anquiloglossia, conhecida como “língua presa”.
O processo consiste na remoção total ou parcial do freio lingual, tecido que conecta a língua ao assoalho da boca. A anquiloglossia pode gerar limitações e impactar na amamentação, alimentação, fala e higiene bucal.
A oferta desse procedimento na atenção primária descentraliza o serviço, aproxima o atendimento da população e evita encaminhamentos desnecessários para serviços de maior complexidade.
Com a descentralização, três pontos principais são destacados
- Acesso: o procedimento passa a ser disponibilizado mais próximo da comunidade, de forma gratuita pelo Sistema Único de Saúde (SUS).
- Otimização de recursos: a realização em unidades básicas diminui a demanda em serviços especializados e hospitais, que ficam reservados para casos de maior complexidade.
- Tratamento precoce: o diagnóstico e o atendimento antecipado contribuem para a prevenção de dificuldades relacionadas à fala e à alimentação, principalmente em crianças.
A descentralização das cirurgias de frenectomia é parte da estratégia de ampliar procedimentos na atenção básica e garantir atendimento de acordo com a capacidade técnica das UBS.


